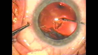
Will Dean who has worked in Malawi shares this excellent video of a standard Fishhook technique
Tuesday, 16 April 2013 09:51
MSICS Overview & Fishhook technique demonstrated
By Will DeanMedia
Published in
MSICS Basics
Login to post comments




